Porcelain veneers.

This patient expressed a desire to improve her smile. Porcelain veneers were able to deliver the result she was looking for.

Porcelain veneers

This patient requested an enhancement to her smile. She had some previous work done but wanted to further broaden her smile. Ultra thin porcelain veneers were made, leaving her feeling happy with her smile.

Tooth whitening & Porcelain veneers.

This patient expressed a desire to improve his smile. He didn’t want orthodontics. Simple tooth whitening and porcelain veneers were able to deliver the result he was looking for.

Clear aligners and composite bonding.

This young patient expressed a desire to improve his smile. Clear aligners were used to align the teeth, along with some composite bonding on some teeth to achieve result he was happy with, leaving the patient to smile confidently.

Tooth wear treated with composite bonding

This patient presented with worn down teeth and requested an improvement in the appearance. Composite bonding was done on all upper and lower teeth. A thrilled patient!

#Composite bonding #cosmetic dentsitry #Wirral cosmetic dentistry

Composite Bonding

This young lady presented with a gap between her teeth. After discussing various options, she elected to have composite bonding to close the gaps. AS can be seen, after composite bonding, all the gaps were closed, leaving the patient to be able to smile confidently.

Tooth whitening, composite bonding, bridge and veneers.

This patient requested an enhancement to her smile. It often takes different types of restorations, planned carefully, to get the desired result. A thrilled patient!

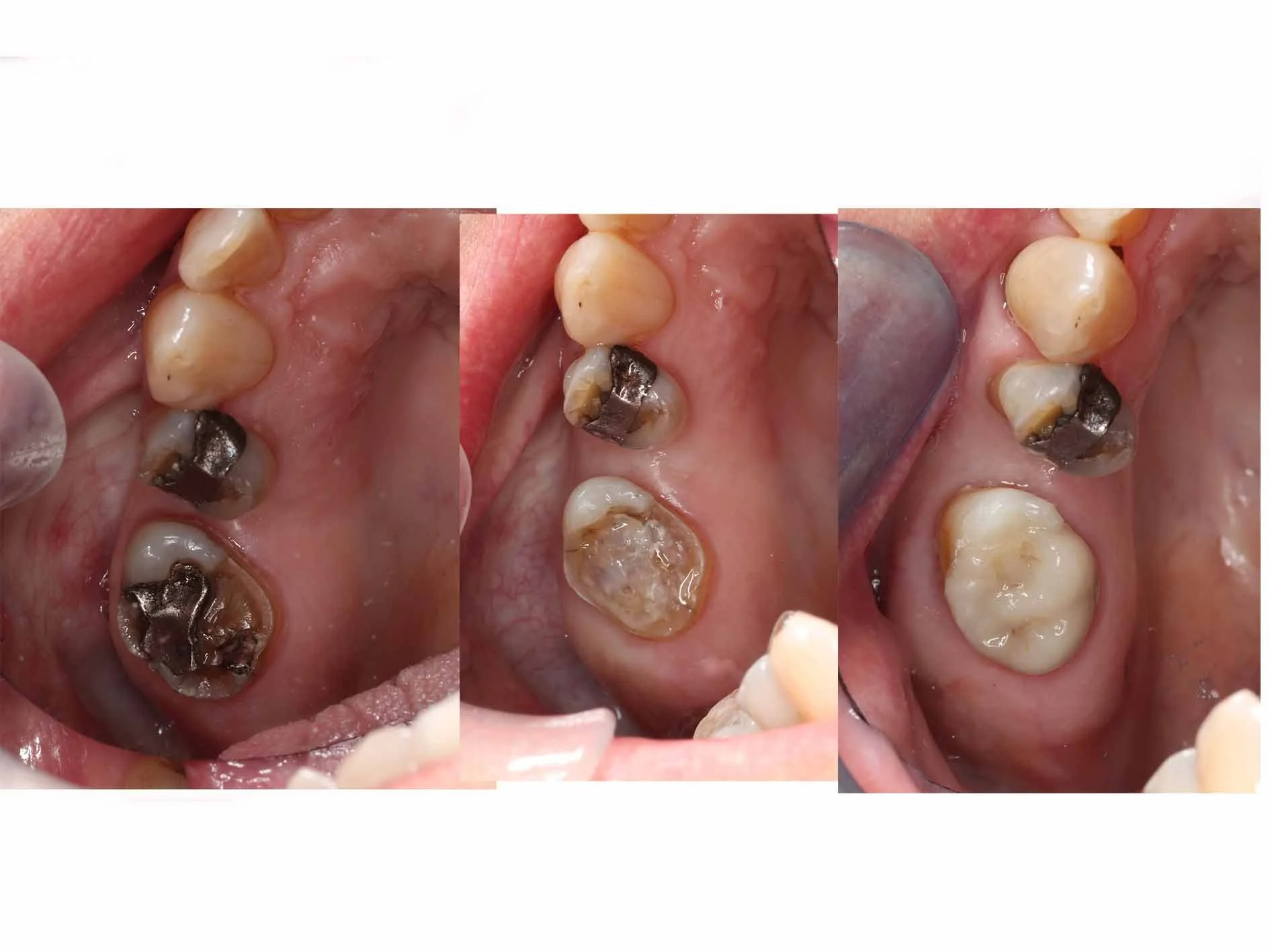
Onlays

Often the tooth is quite broken down and requires a large restoration. In this case, an Emax onlay was made for the last back tooth. It is more conservative than a conventional crown, has good aesthetics and can last long.

Crowns & Veneers

This patient reported that she didn’t smile much as she felt very conscious about the appearance of the teeth. She had some broken down previous crowns and veneers. New crowns and veneers were made, leaving the patient to smile confidently.

Crowns.  Tooth whitening.  Smile design. Wirral.  Cosmetic Dentistry.

Tooth whitening, composite bonding and crowns.

This patient requested an enhancement to her smile. Completed with tooth whitening, replacing old composite bonding and two new crowns on the upper front teeth.

Composite Bonding

This patient reported that she was unhappy with the appearance of her smile. She requested an improvement in the appearance so that they appeared even. Composite bonding was done to improve the appearance, leaving the patient smiling.

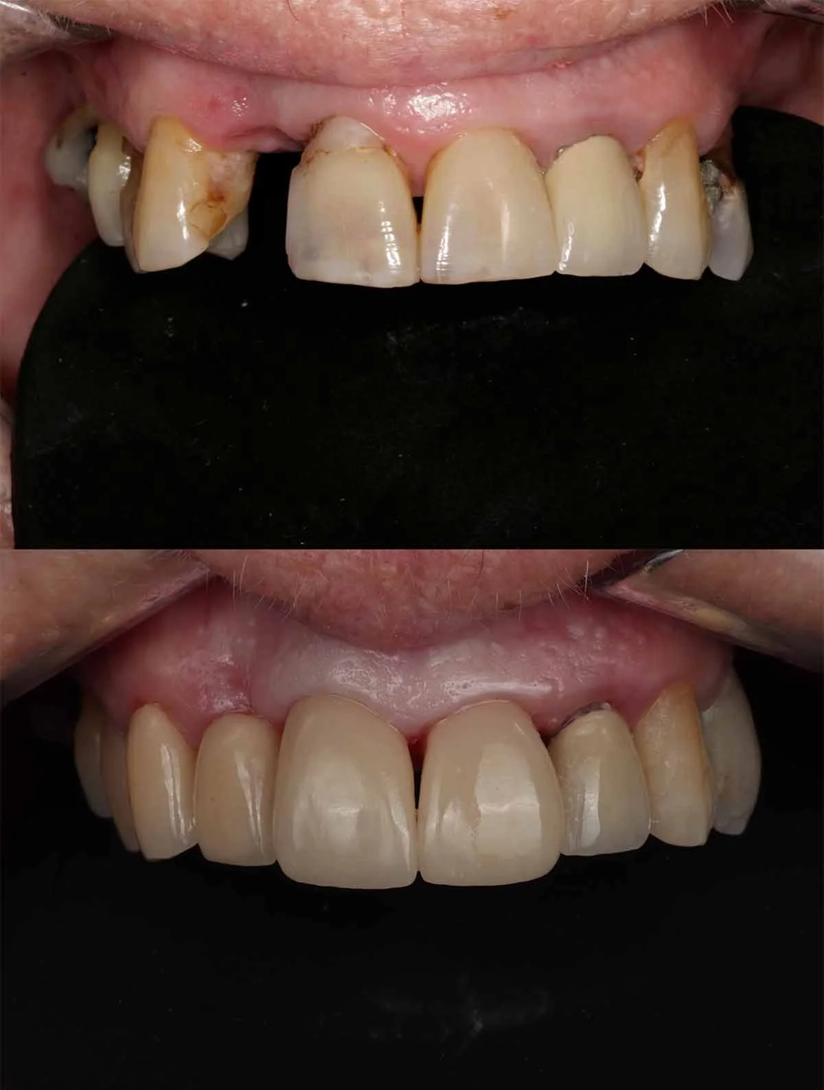
Bridges and Veneers

A patient had failing crowns and was unhappy with the appearance as the existing crowns showed dark margins of the crowns and the colours of the teeth did not look natural. Two teeth had to be removed as they were not in a position to be saved. Teeth replaced with bridges (metal free), and veneers were placed on 2 teeth. The patient was very pleased with the result and now smiles confidently.

Veneers

This gentleman requested an improvement in his smile. He opted for porcelain veneers.

Composite Bonding

Minor discrepancies corrected with composite.

Clear Aligners

Clear aligners can be used to straighten teeth to make them appear better aligned. A 2 week schedule for each aligner and in a few weeks, the result was achieved.

Composite Veneers

Old composite replaced with new. The proportions of the teeth were enhanced.

Composite Veneers

Old composite replaced with new. The proportions of the teeth were enhanced.

Porcelain Veneers

This patient had previous veneers that were made many years ago. Each veneer was made at different times. This led to the colours not matching one another. All veneers were replaced with Emax Porcelain veneers leading to a uniform colour. A happy patient.

Crowns

Broken down teeth and a gap between teeth. Two crowns on the upper teeth put a smile back on.